Quantra™ 乳腺密度自動解析ソフトウェア

臨床現場での機械学習による乳腺密度分析の標準化。

ホロジック Quantra 乳腺密度自動解析ソフトウェア

    概要

    文書

    乳腺密度分析の標準化

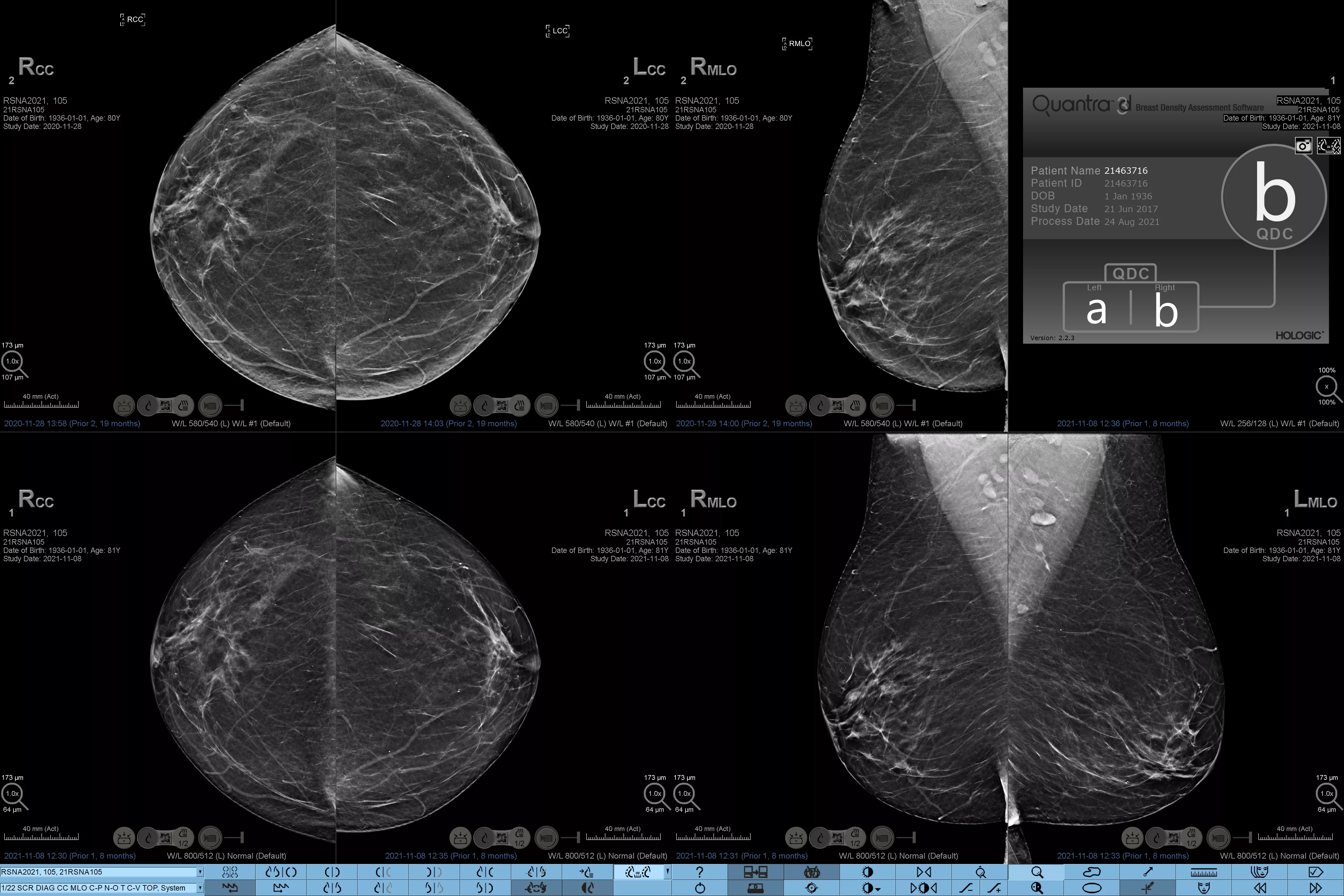
    乳腺濃度が高いと、女性の乳がんリスクが高まることが知られています1。したがって、正確でバイアスのない分析が極めて重要です。機械学習を活用する Quantra テクノロジーソフトウェアは、2D™ 画像とトモシンセシス画像の両方を分析して乳腺密度の割合を分類します。米国放射線医学会 (ACR) BI-RADS アトラス第 5 版のガイドラインに従って、乳房を 4 つの乳房組成のカテゴリーに分類します2

    より優れたリスク予測

    乳腺組織の量に加え、そのパターンや質感も、マンモグラフィーによるがんリスク予測において重要な役割を果たす可能性があります3-5。当社のテクノロジーでは、乳房の質感とパターンを分析し分類することで、より一貫した確実なスコアリングを実現し、患者固有の検診を確実に設計するために必要な正確な情報が得られます。

    バイアスのない評価

    乳房組織の質感とパターンの分析に基づいて乳腺密度のカテゴリーを割り当てる客観的な機械学習アルゴリズム。

    標準化

    放射線科診療全体にわたって標準治療の水準を高め、レポートを標準化します。

    よりスムーズな患者の検査管理

    ワークステーションに密度を表示して、潜在的な補足検査などの患者管理プロトコルを容易にします。

    ホロジックの放射線科によるブレストヘルスの継続的なケアの図解

    時間の有効活用

    「ブレストヘルスの継続的なケア」は、臨床的信頼性、ワークフローの効率、思いやりのある患者ケアのための統合ソリューションを提供します。より多くの女性の健康増進を支援することが私たちの目的です。

    Quantra テクノロジーは、ホロジックの検診および診断ソリューションの一部です。

    設計コンセプトおよび臨床パフォーマンス

    Quantra ソフトウェアのバイアスのないアルゴリズムは、2D 画像とトモシンセシス画像の両方を分析し、以下によって分析をサポートします。

    • 視覚的評価における主観性を克服し、より一貫した信頼性の高いスコアリングが行える。*
    • 標準治療を向上させ、報告を標準化。
    • 補足検査などの患者管理プロトコルを容易に実施。
    乳房イメージングスキャン

    ホロジックの包括的なブレストヘルスソリューションズ

    当社の製品は連携して動作するように設計されており、お客様のニーズに合わせてカスタマイズできます。当社の将来を見据えた統合型 AI ソリューションは、自動化された乳腺密度評価によりワークフローを加速し、個別化した患者ケアを可能にします。当社の経験豊富なチームとお客様の臨床ニーズについて話し合い、お客様に合った最良のソリューションを見つけます。

    リスクカテゴリー8

    販売名:デジタル式乳房 X 線撮影装置 Selenia Dimensions

    医療機器認証番号:222ABBZX00177000

      *スコアは、米国放射線学会 (ACR) BI-RADS アトラス第 5 版の改訂ガイドラインに沿って、ACR BI-RADS カテゴリーに基づいています。密度を決定する際に、体積と比較してパターンと質感を考慮します。
      **画像の解釈にかかる時間 1 日あたり 8 時間を基準とします。
      1. Rafferty EA, Durand MA, Conant EF, et al.Breast Cancer Screening Using Tomosynthesis and Digital Mammography in Dense and Nondense Breasts.JAMA.2016 Apr 26;315(16):1784-6.
      2. ACR BI-RADS Atlas, 5th Edition.2013 入手先:https://www.acr.org/Clinical-Resources/Reporting-and-Data-Systems/Bi-Rads - (2019 年 11 月にアクセス)
      3. Zuley M, Guo B, Catullo V, et al.“Comparison of Two-dimensional Synthesized Mammograms versus Original Digital Mammograms Alone and in Combination with Tomosynthesis Images.”Radiology.2014 Jun;271(3):664-71.Epub 2014 Jan 21
      4. Durand M, Raghu M, Geisel J, et al.“Synthesized 2D Mammography + Tomosynthesis:Can We See Clearly?”(2015 年 12 月、イリノイ州シカゴで開催された北米放射線学会年次総会で発表された論文)。
      5. Choi J, Han B, Ko E, et al.“Comparison with Two-Dimensional Synthetic Mammography Reconstructed from Digital Breast Tomosynthesis and Full Field Digital Mammography for the Detection of T1 Breast Cancer.”European Radiology.2016 Aug;26(8):2538-46.Epub 2015 Dec.
      6. ホロジック内部資料:DHM-08611 Rev 006.
      7. 内部資料:Clinical Study Report CSR-00116 Rev. 004
      8. Breast composition categories as described in ACR BI-RADS Atlas.

       

      文書

      安全データシート(SDS)
      ご要望に応じてご提供いたします

      注意事項等情報(添付文書)

      ホロジックジャパン株式会社
      〒112-0004 東京都文京区後楽1-4-25 日教販ビル